O vírus zika e a epidemia de microcefalia no Brasil

Siga o TUDO SOBRE CONTROLE NEURAL no facebookno instagram e no twitter

Por Laiali Chaar

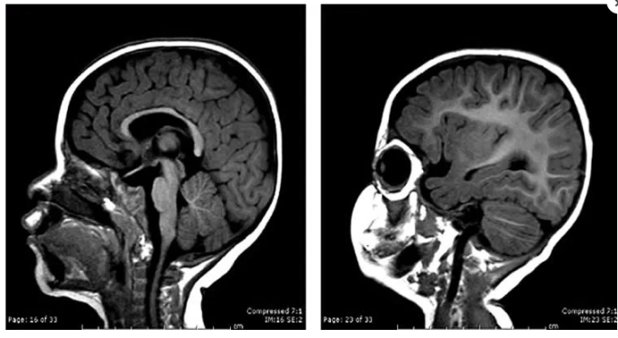
Figura 1Imagem de ressonância magnética de um encéfalo de um recém-nascido com encéfalo com tamanho esperado (esquerda) e de um com microcefalia (direita). 

           Microcefalia é uma condição congênita rara. Nela, o cérebro e o crânio são menores do que o esperado para a idade do feto ou do bebê. Ela é causada por uma alteração genética ou por substâncias tóxicas como drogas ou radiação ou infecções que interferem no desenvolvimento cerebral. Essa diminuição do cérebro pode causar uma série de déficits neurológicos, cognitivos e motores, e retardo mental. Em Agosto deste ano, a Neuropediatra brasileira  Vanessa Van der Linden Mota percebeu um aumento de vinte vezes no número de casos de microcefalia e alertou colegas e a Secretaria de Saúde. A investigação dela começou por causa de um caso de gêmeos em que um dos bebês nasceu normal e o outro com sequelas de uma infecção grave transmitida pela mãe. Foram feitos exames para citomegalovírus, sífilis, toxoplasmose e rubéola, que costumam ser responsáveis por alguns dos casos de microcefalia, porém todos foram negativos. A prova da relação entre o vírus zika e a epidemia de microcefalia foi descoberta quando a obstetra Adriana Meloa colheu o líquido amniótico de duas pacientes que estavam grávidas de bebês com microcefalia e nele foi encontrado o material genético do zika vírus. Além disso, havia zika vírus no sangue de um bebê do Ceará com microcefalia que acabou morrendo. Assim descobriu-se que a epidemia brasileira de microcefalia está ligada a infecção do zika vírus na mãe, o que já foi  inclusive confirmado pelo Ministério da Saúde e Organização Mundial de Saúde no dia 28 de novembro. Agora está sendo investigada uma possível relação do zika vírus com a síndrome de Guillain-Barré, uma doença neurológica.

         A confirmação da relação entre o vírus e a microcefalia é inédita na ciência mundial. E ainda não existem trabalhos científicos publicados sobre isso. Como a epidemia de microcefalia é muito recente, ainda há diversas dúvidas no ar: como o vírus atua no organismo e infecta o feto, quais mecanismos levam à microcefalia, o risco do vírus atravessar a placenta é alto ou baixo e qual o período de maior vulnerabilidade para a gestante. Em uma análise inicial do Ministério da Saúde, o risco está associado aos primeiros três meses de gravidez. A hipótese é de que o zika vírus invade a placenta, entra na corrente sanguínea do feto e vai direto para o cérebro, para infectar os neurônios. Ali, o vírus se multiplicaria provocando uma inflamação que retarda a multiplicação dos neurônios e prejudica a formação do cérebro da criança

           O vírus foi identificado pela primeira vez em 1947 em um macaco rhesus na floresta Zika, da Uganda, e por isso tem esse nome (não, não é pela zica dos danos que provoca). No Brasil, ele foi identificado pela primeira vez este ano, em Abril. Não existem vacinas para o vírus zika. Então, a única maneira de combater o zika vírus, dengue e chikungunya é acabando com o vetor, o mosquito Aedes aegypti, evitando acumular água parada em pneus, garrafas e vasos de plantas. Em caso da detecção de focos de mosquito que o morador não possa eliminar, é importante acionar a Secretaria Municipal de Saúde do município. Há indícios ainda de que fluidos corporais, como o sêmen, o sangue e o próprio leite materno também possam propagar o vírus zika, mas nada confirmado. E, por enquanto, a indicação médica é para que mulheres grávidas se protejam contra picadas: evitem horários e lugares com presença de mosquitos, usem roupas que protejam a maior parte do corpo, usem um repelente adequado e permaneçam em locais com barreiras para entrada de insetos como telas de proteção ou mosquiteiros. Além disso, é muito importante que relatem ao seu médico qualquer alteração em seu estado de saúde e que realizem o pré-natal para investigar microcefalia no feto através da ultrassonografia.

Atualização em 01/04/2016: A Organização da Saúde confirmou a relação entre o vírus da Zika e microcefalia nessa semana. Foram publicados alguns trabalhos científicos confirmando a relação do vírus Zika com microcefalia. Agora isso é um consenso científico.Cientistas encontraram o vírus no cérebro de bebês afetadas com microcefalia e agora um artigo foi publicado demonstrando que a infecção por vírus Zika aumenta a chance de nascimentos de bebês com microcefalia. A questão ainda sem resposta é seria o Zika realmente o culpado pelo aumento dos casos de microcefalia? E se eu pegar uma infecção de Zika durante a gravidez, quais são as chances de que meu bebê vai ser afetadoAtualmente, o vírus Zika está circulando em 33 países, nas Américas e infectou centenas de milhares de pessoas.

📷 Crédito da imagem: adaptada da assessoria de imprensa da Universidade de Yale.

Para saber mais:

Mishra-Gorur K, Çağlayan AO, Schaffer AE, Chabu C, Henegariu O, Vonhoff F, Akgümüş GT, Nishimura S, Han W, Tu S, Baran B, Gümüş H, Dilber C, Zaki MS, Hossni HA, Rivière JB12, Kayserili H, Spencer EG, Rosti RÖ, Schroth J, Per H, Çağlar C, Çağlar Ç, Dölen D, Baranoski JF,Kumandaş S, Minja FJ, Erson-Omay EZ, Mane SM, Lifton RP, Xu T, Keshishian H, Dobyns WB, Chi NC, Šestan N1, Louvi A, Bilgüvar K, Yasuno K, Gleeson JG, Günel M. Mutations in KATNB1 cause complex cerebral malformations by disrupting asymmetrically dividing neural progenitors. Neuron, Dezembro, 2014.

Deixe um comentário