Leite materno estimula o desenvolvimento cerebral de bebês prematuros

Siga o TUDO SOBRE CONTROLE NEURAL no facebookno instagram e no twitter

Por Laiali Chaar

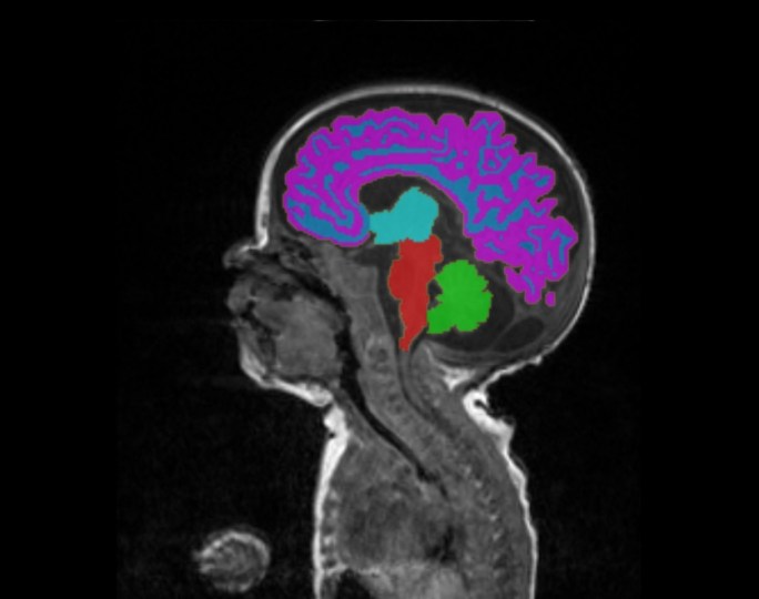
bebe prematuro 1Imagem de ressonância magnética do encéfalo de um bebê recém-nascido com cores diferentes nas diferentes regiões encefálicas. Essa técnica é uma dos várias utilizadas para fazer um mapa do desenvolvimento do cérebro e investigar as causas e consequências de uma lesão cerebral. Fonte da imagem: Universidade de Edimburgo.

      Vários benefícios do aleitamento materno para a saúde do bebê já são conhecidos como: a proteção contra inflamação, infecções e doenças graças à sua composição rica em nutrientes e anticorpos. Mas, a última descoberta da Neurociência é que o aleitamento materno pode estimular o crescimento do cérebro de bebês prematuros. Então, nesse dia das mães nós teremos mais um motivo para agradecer nossa mãe: ela ter nos amamentado! A novidade foi apresentada essa semana, no dia 3 de Maio, na Reunião Anual das Sociedades Acadêmicas de Pediatria nos Estados Unidos pela neurocientista Erin Reynolds da Universidade de Washington.

  Ela descobriu que alimentar os bebês prematuros com leite materno durante o primeiro mês de vida parece estimular o crescimento do córtex cerebral. O córtex é a parte do cérebro que tem muitas funções. Dentre elas, o córtex também é associado à cognição, ou seja, o raciocínio, a ação mental de aquisição de conhecimentos e compreensão através do pensamento, da experiência e dos sentidos. Então, é importante ter mais córtex porque isso pode ajudar também a melhorar o raciocínio e inteligência dessas crianças. Os prematuros em que as dietas diárias eram de pelo menos 50% de leite materno tinham mais tecido cerebral e área da superfície do córtex do que bebês prematuros que consumiram menos leite materno com mesma idade, independentemente se o leite era da própria mãe do bebê ou foi doado por outra mãe. A área de superfície do córtex foi analisada por exames de ressonância magnética.

Leia também: Gravidez causa mudanças no cérebro da mãe

    Uma gravidez a termo, ou seja, no tempo adequado dura 40 semanas. Um nascimento prematuro é considerado quando um bebê nasce antes das 37 semanas de gestação. Como os bebês nascidos prematuramente ainda estavam em desenvolvimento, eles normalmente têm cérebros menores que crianças nascidas a termo e com menor volume e conexões do córtex com outras regiões. O parto prematuro é a principal causa de problemas neurológicos em crianças e tem sido associada a um risco aumentado de alterações psiquiátricas mais tarde na infância.

Leia também: Células do filho migram para o cérebro da mãe e podem prevenir Alzheimer

Assim, mais uma vez fica comprovado que o leite materno é a melhor fonte de nutrição para o bebê. Especialistas em saúde e pediatras recomendam fortemente a alimentação apenas com leite materno até os seis meses de idade. Além disso, a amamentação deve continuar acompanhada por outros alimentos até 24 meses de idade da criança. As mães também são beneficiadas com a amamentação. pois ela estimula a contração do útero para eliminar o sangramento após o parto. Além de ser também uma ótima maneira das mães se relacionarem com seus bebês. No entanto, mais estudos são necessários para saber como o leite materno afeta o cérebro e que componentes do leite favorecem o desenvolvimento do cérebro.

Para saber mais:

Reynolds E, et al. Effects of breast milk consumption in the first month of life on early brain development in premature infants. Abstract presented at the Pediatric Academic Societies 2016 meeting, May 3, 2016.

Ball G, Boardman JP, Aljabar P, Pandit A, Arichi T, Merchant N, Rueckert D, Edwards AD, Counsell SJ. The influence of preterm birth on the developing thalamocortical connectome. Cortex, 49(6):1711-21, 2013.

Deixe um comentário