Confirmado! Vírus zika pode causar microcefalia

Siga o TUDO SOBRE CONTROLE NEURAL no facebookno instagram e no twitter

Por Laiali Chaar

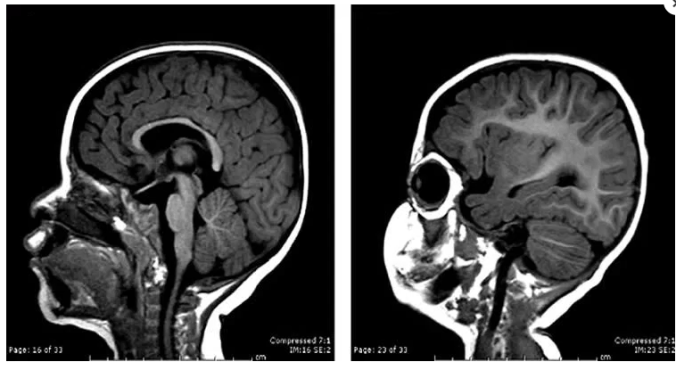
Figura 1Imagem de ressonância magnética de um encéfalo de um recém-nascido com encéfalo no tamanho esperado (esquerda) e de um com microcefalia (direita). 

     Poucas horas atrás pesquisadores brasileiros publicaram um artigo na revista Nature comprovando definitivamente que o vírus Zika pode causar microcefalia. Nele, foram feitos experimentos com camundongos por um grupo de pesquisadores do Instituto de Ciências Biomédicas da Universidade de São Paulo que mostraram que o Zika é capaz nas grávidas de atravessar a barreira placentária, infectar e matar as células que dariam origem aos neurônios do feto causando má-formação do cérebro e microcefalia. Dados de testes em células sugerem também que o vírus zika que está sendo transmitido no Brasil é mais agressivo do que o vírus africano, que originalmente infectava macacos. Explicando assim, porque o vírus na África não provocou uma epidemia de microcefalia. Isso confirma a teoria de que, nos últimos anos, o Zika vírus teria sofrido mutações que o tornaram mais eficiente para infectar humanos. Essas ideias eram dúvidas até ontem e hoje foram comprovadas por esse grupo de pesquisadores brasileiros. O artigo com os resultados está no link abaixo:

Cugola, F. R.; Fernandes,  I. R.;  Russo, F. B.; Freitas, B. C.; Dias, J. L. M.; Guimarães, K. P.; Benazzato, C.; Almeida, N.; Pignatari, G. C.; Romero, S.;  Polonio, C. M.; Cunha, I.;  Freitas, C. L.; Brandão, W. N.; Rossato, C.; Andrade, D. G.; Faria, D. P.; Garcez, A. T.; Buchpigel, C. A.; Braconi, C. T.; Mendes, E.; Sall, A. A.; Zanotto, P. M. A.; Peron, J. P. S.; Muotri, A. R.; Beltrão-Braga, P C. B. The Brazilian Zika virus strain causes birth defects in experimental models. Nature letter, 2016.

 📷 Crédito da imagem: adaptada da assessoria de imprensa da Universidade de Yale.

Deixe um comentário