Siga o TUDO SOBRE CONTROLE NEURAL no facebook, no instagram e no twitter
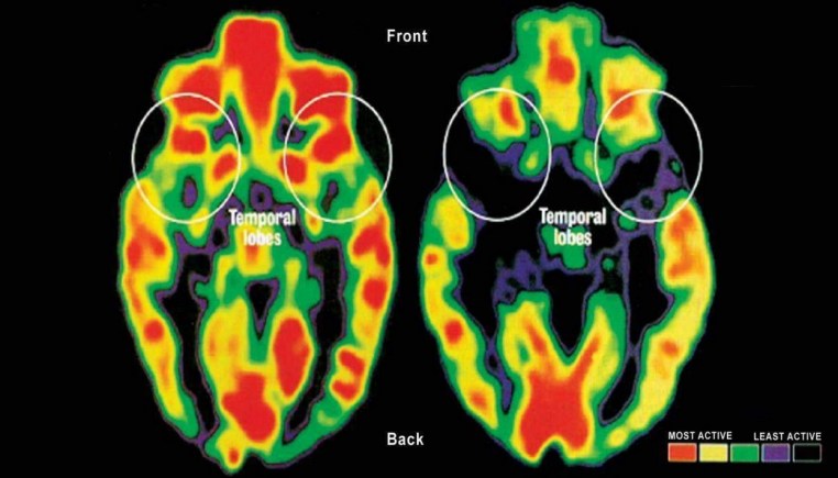
Hoje é comemorado o dia das crianças no Brasil, mas talvez o mundo não tem muito o que comemorar. Qual a diferença entre esses dois cérebros? Os dois são de crianças com a mesma idade. Mas por que o primeiro está muito mais vermelho e colorido? O vermelho significa massa cerebral e ativação neuronal. A diferença é que a criança da direita que tem um encéfalo menor e menos ativado vive na pobreza. Já é bem conhecido que a pobreza nos primeiros anos de vida está associada a baixo desempenho escolar, mas dois estudos publicados neste ano associaram a pobreza à diferenças no desenvolvimento da estrutura do cérebro. Crianças pobres tem um cérebro menor, que será menor para sempre, menos substância branca e cinzenta em áreas como o lobo temporal e lobo frontal, que são áreas do córtex cerebral, e o hipocampo. Estas áreas cerebrais, criticas para o raciocínio e necessárias para o sucesso acadêmico, são vulneráveis ao ambiente em que a criança se desenvolve. De acordo com a UNICEF, a pobreza cresce a cada ano no mundo e hoje uma a cada cinco crianças no mundo vive na pobreza. Uma intervenção política efetiva é urgente.
Crédito da foto: PhD Vincent Felitti
Para saber mais:
